Angioma cavernoso, quando l’acufene può salvarti la vita
L’angioma cavernoso è una patologia vascolare cerebrale rara, spesso misconosciuta, ma potenzialmente molto pericolosa. Può manifestarsi in modo subdolo, talvolta con un semplice acufene pulsante, un senso di ovattamento auricolare o una perdita uditiva. Questi sintomi, apparentemente banali, possono in realtà nascondere condizioni gravi che mettono a rischio la vita del paziente. Il caso clinico riportato evidenzia quanto sia essenziale prestare attenzione ai segnali del proprio corpo e rivolgersi tempestivamente a uno specialista. Una paziente giovane, giunta presso il Centro Siciliano Acufene (CSA) con sintomi audiologici persistenti e debilitanti, ha potuto evitare gravi conseguenze neurologiche grazie a una diagnosi precoce di angioma cavernoso cerebrale.
Acufene e sintomi neurologici: una storia clinica esemplare
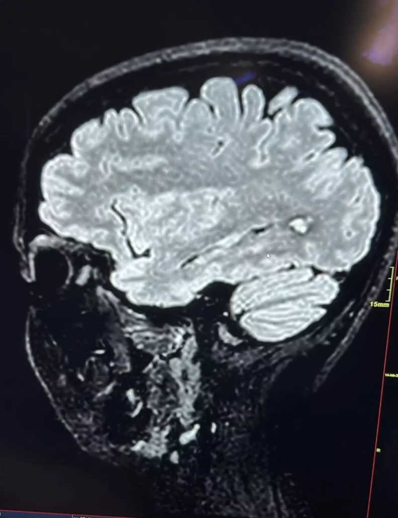
La paziente lamentava acufene pulsante, ovattamento auricolare, senso di pressione all’orecchio e perdita dell’udito. Al quadro clinico si associavano marcati sintomi psicologici: ansia crescente, difficoltà di concentrazione e sintomi depressivi. Dopo aver consultato diversi specialisti senza ricevere una diagnosi precisa, la paziente si sentiva smarrita e priva di speranza. Sin dalla prima visita, abbiamo sospettato una componente vascolare alla base della sintomatologia. Gli esami audiologici eseguiti in sede hanno rafforzato la nostra ipotesi, portandoci a richiedere con urgenza esami radiologici approfonditi: risonanza magnetica dell’encefalo, valutazione dell’articolazione temporo-mandibolare e studio dei distretti vascolari cerebrali. I risultati non hanno lasciato dubbi: la paziente era affetta da un angioma cavernoso encefalico di circa 10 mm, già sanguinante, con deposito di emosiderina come segno di precedenti microemorragie.
Cos’è un angioma cavernoso cerebrale?
L’angioma cavernoso, noto anche come cavernoma, è una malformazione vascolare benigna del cervello, costituita da un intreccio anomalo di vasi capillari dilatati con pareti sottili. Può essere congenito o acquisito e si manifesta con una varietà di sintomi neurologici, oppure può restare silente per anni. Quando sintomatico, l’angioma cavernoso può causare emorragia cerebrale, crisi epilettiche, cefalea persistente, acufene, ipoacusia, vertigini, disturbi cognitivi e alterazioni dell’umore. Nel caso specifico della paziente, l’angioma era localizzato in una zona encefalica delicata e già soggetta a sanguinamento. Il rischio di un’emorragia cerebrale massiva era alto. Dopo la diagnosi, abbiamo immediatamente avviato una consulenza neurochirurgica. Il collega neurochirurgo ha confermato l’indicazione all’intervento di asportazione chirurgica dell’angioma per prevenire ulteriori sanguinamenti e possibili danni irreversibili.

Acufene come sintomo spia
L’acufene è spesso considerato un fastidio isolato, ma nella realtà clinica può rappresentare il primo segnale di patologie molto più gravi. In questo caso, il sintomo è stato il punto di partenza per una diagnosi salvavita. Dopo l’avvio del nostro protocollo terapeutico farmacologico, la paziente ha sperimentato un rapido miglioramento: l’ovattamento e l’ipoacusia sono scomparsi, mentre l’acufene si è ridotto drasticamente fino a diventare impercettibile nella quotidianità. Il nostro approccio non si è fermato alla terapia sintomatica. Dopo l’intervento neurochirurgico, accompagneremo la paziente in un percorso di riabilitazione uditiva con sistemi digitali combinati, studiati su misura per il suo quadro clinico. La riabilitazione sonora, insieme a un monitoraggio multidisciplinare costante, sarà fondamentale per il completo recupero della funzionalità uditiva e della qualità di vita.
Quando l’acufene può salvarti la vita: il valore della diagnosi precoce
Questo caso dimostra quanto sia fondamentale rivolgersi a specialisti qualificati in presenza di sintomi persistenti come acufene, ipoacusia o ovattamento auricolare. L’intervento tempestivo ha consentito di formulare una diagnosi precisa, avviare una terapia efficace e prevenire possibili complicanze neurologiche gravissime. L’angioma cavernoso cerebrale può essere gestito, trattato e, in molti casi, risolto completamente, ma solo se diagnosticato per tempo.
La missione del Centro Siciliano Acufene è proprio questa: fornire una valutazione clinica accurata, basata su una visione multidisciplinare, umana e scientificamente aggiornata. Lavoriamo con dedizione per dare risposte concrete a chi soffre di disturbi audiologici complessi, anche quando tutto sembra già stato tentato senza successo.
Non ignorare i sintomi: prenota la tua visita
Se soffri di acufene persistente, perdita dell’udito improvvisa o vertigini ricorrenti, non rimandare. Potrebbe trattarsi di un semplice disturbo temporaneo, ma anche il segnale precoce di una patologia più complessa come un angioma cavernoso. Prenota una visita specialistica presso il Centro Siciliano Acufene: una diagnosi precoce può salvarti la vita.


Nonwarit Pruetisirirot 








